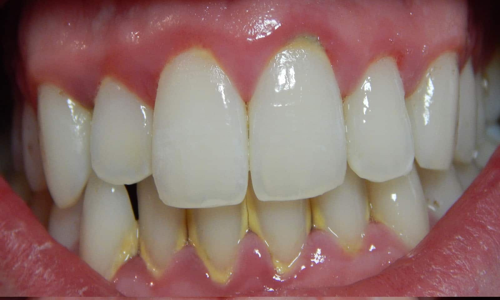
El Alzheimer, una de las enfermedades neurodegenerativas más prevalentes en el mundo, afecta a más de 55 millones de personas y representa una de las principales causas de discapacidad en adultos mayores. Esta enfermedad, caracterizada por la acumulación de placas beta-amiloides y ovillos neurofibrilares, sigue siendo un reto para la medicina moderna debido a su […]
Científicos revelan que la causa del Alzheimer podría ser una periodontitis crónica.
El Alzheimer, una de las enfermedades neurodegenerativas más prevalentes en el mundo, afecta a más de 55 millones de personas y representa una de las principales causas de discapacidad en adultos mayores. Esta enfermedad, caracterizada por la acumulación de placas beta-amiloides y ovillos neurofibrilares, sigue siendo un reto para la medicina moderna debido a su […]
